Skip to main content

Understanding Wisdom Teeth

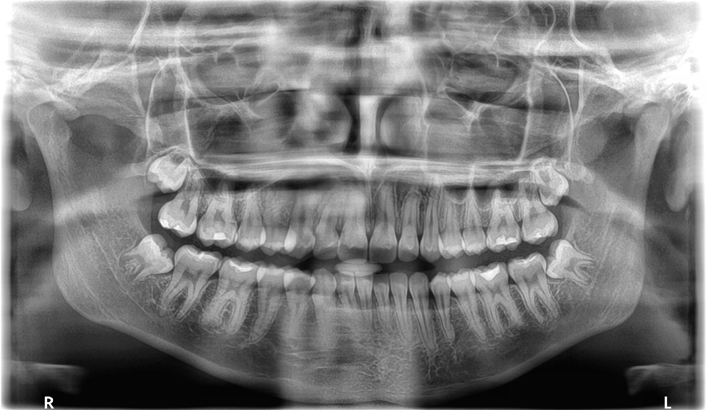
Wisdom teeth are the final set of adult molars, typically emerging between the late teens and early twenties. While some people experience no issues, others develop pain, swelling, or alignment problems when the jaw doesn’t have enough space to accommodate them. These complications can affect oral health, making early evaluation essential.

Why Removal May Be Recommended

When wisdom teeth don’t erupt properly, they can cause several issues, including:

  • Impaction: Teeth that remain trapped beneath the gums or jawbone.
  • Crowding: Pressure that shifts other teeth out of alignment.
  • Infection or decay: Hard-to-clean areas that can lead to gum disease or cavities.
  • Discomfort: Pain, inflammation, or pressure along the jawline.

Removing wisdom teeth before they cause problems can help preserve alignment and overall oral health.

Evaluation and Treatment Planning

At Palmetto Oral & Maxillofacial Surgeons, P.A., our team performs comprehensive evaluations using advanced imaging to determine if extraction is necessary. Early assessment—often in the mid- to late-teen years—allows for a smoother procedure and easier recovery.

The Procedure

If extraction is recommended, your surgeon will discuss anesthesia options, typically IV sedation, and review the procedure in detail so you know what to expect. During surgery, the wisdom teeth are carefully removed in a controlled, comfortable environment. Afterward, patients are monitored for a short period before being released to go home. Post-operative instructions and care guidelines are provided to ensure a safe and smooth recovery.

Compassionate, Experienced Care

With decades of combined experience, Dr. Doug Oliver, Dr. Michael Morgan, and Dr. Matthew Lee provide safe, precise wisdom teeth removal for patients across Florence, SC, and the Pee Dee region—helping reduce discomfort and protect long-term oral health.